top of page


As melhores
marcas do mercado estão aqui
Ortodontia Removível e Estética com Invisalign
Invisalign é uma tecnologia inovadora que oferece um tratamento de alinhamento dentário personalizado, rápido e estético. Sendo removível e livre de fios e braquetes, Invisalign permite que você coma e fale normalmente durante o tratamento, enquanto ainda mantém seu sorriso bonito.



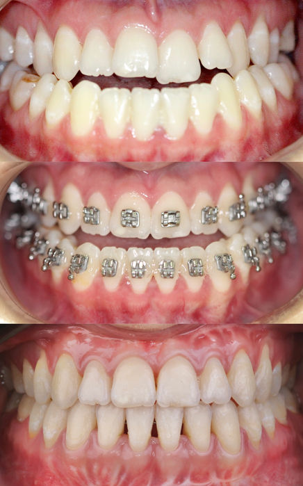
Ortodontia Convencional Fixa
Além do Invisalign, oferecemos outros tipos de Ortodontia Fixa com opções estéticas em Safira e Autoligados, ou ainda, a opção metálica tradicional. Assim, atendemos às necessidades e preferências de cada paciente para proporcionar o melhor tratamento ortodôntico possível.




Para maiores informações sobre os procedimentos, agendamentos de consultas, avaliações e orçamentos, aguardamos sua mensagem.
Dra Ana Cláudia Sebben - Todos os Direitos Reservados - Desenvolvido por Toazza Estúdio Publicitário
Uma nova vida com um novo sorriso
bottom of page













